Young Dental
Specialties:
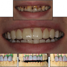
Crown & Bridge, Dentures, Implants
- 2522 S. Broad St, Philadelphia, PA 19145
- 866-888-1668
- www.youngdentallab.com
Contact Email Address: joe@youngdentallab.com
Overview
Owner/technician Michael Young, MDT, CDT is a Technical Alliance Member of the ACP, member of the ITI and Found- ing Member of the International College of Orthodontics & Orthopedics. For over 30 years, Young Dental Laboratory, Inc., CDL has been a family-owned and operated true full- service lab and a proud Opt-in Lab Charter Member.

